Boxer's Fracture
A boxer's fracture is caused by hitting something with a closed fist. It's often seen in teenagers. The fracture will typically heal within 3 to 4 weeks from the date of injury.
Symptoms
A boxer's fracture can cause:
- Bruising
- Swelling
- Less motion of hand or fingers
- Pain with hand and finger motion
Diagnosing the Fracture
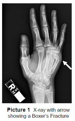
X-rays of the hand are taken to see if there is a fracture. A boxer’s fracture is a small finger metacarpal neck fracture (Picture 1).
Treatment
This fracture is a stable injury. It's not likely for it to get worse. It's safely treated with the hand in a Velcro© brace (Picture 2). The brace will be put on the hand to help keep the bone protected and the wrist and fingers still as the bone heals.
Your child should wear the Velcro brace for 3 weeks from the time they are seen in clinic.
- The brace should only be removed for showers, baths, or other hygiene and then at least one time each day to check the skin for irritation or redness.
- Keep the brace clean and dry at all times.
- Your child may take part in sports, gym, and other physical activities while wearing the Velcro brace.
- At the 3-week mark, your child may wean out of the brace when there is no longer any pain when the area over the metacarpal neck is pressed. No formal follow-up is needed.
- Your child may have some wrist or finger stiffness and weakness for 1 to 2 weeks after the brace is removed. If these symptoms continue after 2 weeks, call the orthopedic clinic.
- There may be a small difference in how your child’s knuckle looks on the injured hand. You may even notice a bump on the back of the hand. These differences should not limit hand movement.
When to Call the Clinic
Call the orthopedic clinic if your child has:
- Numb or tingling fingers.
- Fingers that are a bluish-purple color.
- Fingers that feel cold and do not get warm when the hand is raised.
- More than a little swelling with discomfort.
- Extreme pain when you move their fingers.
- Not gotten their full range of motion back after the 3 weeks of treatment.
Clinic Contact Information:
Clinic hours at both locations are are Monday through Friday, 8:00 am to 4:30 pm. Ask for the nurse to discuss any symptoms.
Nationwide Children's Columbus
- Call (614) 722-5175 to schedule an appointment.
- For evenings, weekends, and holidays, call (614) 722-2000. Ask for the Orthopedic Resident on-call to discuss any symptoms.
Nationwide Children's Toledo
- Call (419) 251-2061 to schedule an appointment.
- For evenings, weekends, and holidays, call (567) 290-6543. Ask for the Orthopedic Resident on-call to discuss any symptoms.
HH-I-453 • ©2019, revised 2022 • Nationwide Children's Hospital