Mallet Finger

Mallet finger is an injury to the end of a finger. It happens when an object, like a ball, hits the tip of a finger and bends the joint down too fast and too far. The force of the hit can either tear the extensor tendon or break the bone.
The extensor tendon connects muscle to a bone so a finger can straighten out (extend). When a mallet injury occurs:
- The fingertip stays bent (Picture 1). You can straighten out your finger with your other hand, but it will go back to its bent position.
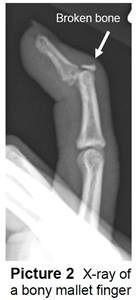
- It can sometimes break off a piece of bone. This is called a bony mallet (Picture 2). If the bone doesn’t break but the tendon tears, it’s called a soft tissue mallet.
Mallet finger often occurs on the middle finger of the hand you use the most, your dominant hand.

Signs and Symptoms
- A finger bent at the last joint that can’t straighten on its own
- A pop or tearing feeling in the finger at the time of injury
- Bruising after 48 hours
- Pain when moving the injured finger
- Tenderness, swelling, and warmth, especially on the back of the finger or joint
Diagnosis
Your child’s doctor or health care provider will ask what happened, examine the finger, and take an X-ray to see if the bone is broken.
Treatment
- Ice: Put ice on your child’s injured finger. Cover the finger with a cloth so the ice doesn’t hurt their skin. Use ice every 2 to 3 hours for 10 to 15 minutes each time.

- Splint or cast: Your child may need to wear a splint or cast to keep their finger straight and in one position (Picture 3). For splints, your child:
- Needs to wear it for 24 hours a day for 6 to 8 weeks, even when bathing.
- May need to wear the splint longer than 2 months or at night.
- May take the splint off briefly after bathing, to dry the finger, but the fingertip must always stay straight
- Pain medicine: Give your child over-the-counter (OTC) pain medicines, such as acetaminophen (Tylenol®) or ibuprofen (Advil® or Motrin®). Read the label to know the right dose for your child.
- Surgery: Mallet finger injuries can typically be treated without surgery. Your child may need surgery if the tendon pulls off a large piece of bone, the finger is not in proper position, there is a deep cut, or if the other treatments fail.
- After the injury heals and your child doesn’t need to wear the splint or cast anymore, the finger may not be perfectly straight. There may be a bump on the back of the finger. This is common but usually doesn’t affect how the finger works.
When to Call the Doctor
Call your child's doctor or health care provider right away if they have:
- Increased pain
- Increased swelling
- Numbness
Follow-up
Your child will have follow-up appointments with their doctor or health care provider to check the healing of their finger.
They should not do sports, including gym class, until their doctor or health care provider says it’s okay.
HH-I-413 • ©1991, revised 2023 • Nationwide Children's Hospital
Treating Mallet Finger
The Hand and Upper Extremity Program expertly care for children with mallet finger.